ホワイトニング
ホワイトニングとは

歯は本来若干黄色っぽい色をしています。
そんな歯の色素に【薬】を長時間作用させることで白く変化させます。
【専用マウスピース】を用いることで薬を歯の表面に長時間留めることができます。
つまり、ホワイトニングに必要なものは
・専用薬剤
・専用マウスピース この2つです。
※口腔内の火傷リスクのある光照射は行っておりません。
付随品として、独特の知覚過敏症状を抑える専用歯磨きペーストもご用意しております。
費用
気になる金額は最初にお伝えいたします
専用薬剤 ¥2,200(税込)/ 本
専用マウスピース ¥13,200(税込)/ 個
マウスピース内面のスポットに薬剤を米粒程度ずつ注入し、お口に装着します。
専用薬剤はホワイトニングの完了までに2本程度使用します。

専用歯磨きペースト ¥1,320(税込)/ 本

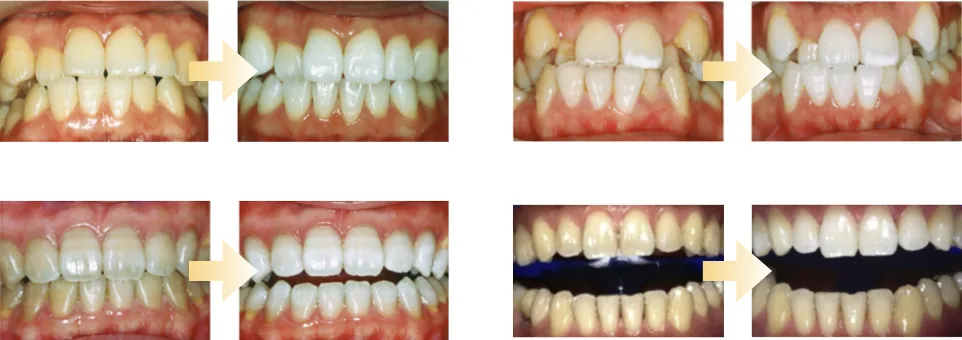
実績は数多くあります。
効果を保証することはどんな治療でも出来ません。必ず例外が存在するからです。我々にできるのは過去の成功例をご提示することです。

4つの症例のうち、右下は当院理事長の歯列写真です。比較しやすくするため上の歯のみ施術しております。
薬剤について
過酸化尿素を用います。これは過酸化水素よりも マイルドな消毒剤であり、新生児の口の中の消毒にも用いられる安全な薬剤です。
ホワイトニングは米国で数十年間にわたり治療が行われており、何ら健康に悪い影響を与えるという報告はありませんが、妊娠中や授乳中の方へあえてお勧めはしていません。 ※デントレード社提供情報
「やって良かった」を共感していただきたいから
- 「薬剤を処方して欲しい」「マウスピースだけ作りたい」というお客様も歓迎いたします。
- ホワイトニング費用について、世間では月会費制など様々ございますが、当院と作用機序に差異はございません。
- 当院では必要な器具・薬剤を必要な量だけお買い求め(処方をお受け)いただけます。¥13,200(税込)から始められます。
- 必要な時に薬剤¥2,200(税込)の追加処方を受けるだけ。マウスピースさえ作ってしまえば、よほど歯の形が変わらない限り【一生モノ】です。
銀歯のホワイトニング
(詰め物と被せ物)
近年は、保険診療で金属以外の白い材質での治療の適応範囲が広くなりました。
当院では保険治療を中心に、お客様の症状やご希望に合わせた治療をご提案いたします。


















